Články > Zdravé srdce > Neinvazívna metóda čistenia ciev ...

NEINVAZÍVNA METÓDA ČISTENIE CIEV ZBAVUJE SENIOROV PRUDKÝCH VÝKYVOV KRVNÉHO TLAKU A ATEROSKLERÓZY!

Renomovaný nemecký kardiológ odhalil jednoduchý spôsob, ako odblokovať zúžené tepny.  

„Som absolútne presvedčený, že každý si môže doma vyčistiť cievy a dožiť sa 100 rokov!”

Profesor Ralf Fitz je nemecký špecialista, známy svojimi nechirurgickými metódami boja proti ateroskleróze. Medzi pacientov profesora patria známi politici, herci a športovci.

Reportér: Pán profesor, prečo naše zdravie tak veľmi závisí od ciev?

PROF. FITZ: Najčastejšou príčinou smrti vo svete je CHOROBA SRDCA A CIEV. Hlavnou príčinou ich vzhľadu s vekom je CHOLESTEROL. Ukazuje sa, že cholesterol je najnebezpečnejšou látkou na našej planéte. Zabíja viac ľudí ako alkohol, nikotín a drogy dohromady! Keby sa cholesterol nehromadil v cievach, ľudia by sa pokojne mohli dožiť 120 rokov!

Tvrdíte, že čistenie ciev od nánosov cholesterolu môže seniorom predĺžiť život a stabilizovať krvný tlak?

Prof. Fitz: Viem to! V súčasnosti v ambulancii odporúčame čistenie ciev všetkým ľuďom nad 50 rokov (niekedy aj nad 40). U 9 z 10 ľudí sa krvný tlak normalizuje ihneď po vyčistení ciev!

Tak prečo o tom vie tak málo ľudí?

Prof. Fitz: Žiaľ, tento jednoduchý spôsob normalizácie krvného tlaku zakrývajú chamtiví súkromní lekári a farmaceutické spoločnosti. Je pre nich výhodné, ak sa človek lieči čo najdlhšie. Čistenie tepien od smrteľných usadenín je pritom jednoduché, lacné a veľmi rýchlo prináša citeľné zlepšenie vášho zdravia a pohody

Zrejme ste zachránili život Márii Hilkerovej, profesorke biológie na Berlínskej univerzite?

Prof. Fitz: Povedal by som, že sa zachránila tým, že sa rozhodla vyčistiť si cievy. Po mesiaci táto žena napísala list našej klinike.

Doctor Marie_Hilker

Marie Hilker (75 rokov),

profesorka biológie z Berlína, ktorá donedávna trpela hypertenziou a pokročilou aterosklerózou.

Keď vám moja dcéra zavolala, bola som prakticky v bezvedomí kvôli obrovskému tlaku, ktorý nedokázali znížiť ani lieky. Bola som v predinfarktovom stave. Potom moja dcéra zavolala na vašu kliniku. Začala som užívať prípravok, ktorý ste nám poslali. Už po jednom dni som sa cítila lepšie. Pred týždňom som absolvovala testy v nemocnici. Keď mi užasnutý lekár povedal, že som „na svoj vek príliš zdravá“, bola som nesmierne šťastná. Pred pár mesiacmi som bola jednou nohou v hrobe. Ďakujem veľmi pekne!

Podľa toho, čo vieme, kúpa prípravku Vein&Circulation MAX , ktorý odporúčate na samočistenie ciev, v lekárni je na hranici nemožného.

Prof. Fitz: Prípravok sa vyrába v malých, limitovaných sériách, hlavne v Japonsku a na požiadanie od niekoľkých západných súkromných kliník, vrátane našej. Preto nie je dostupný v lekárňach. Našťastie, TERAZ SI MÔŽE TENTO PRÍPRAVOK OBJEDNAŤ KAŽDÝ. Stačí zavolať.

Neinvazívna metóda čistenia tepien pre dôchodcov a ľudí s hypertenziou

Najdôležitejšia zložka Vein&Circulation MAX sú takzvané fytoaktívne molekuly, ktoré sú schopné rozkladať nečistoty a usadeniny nahromadené v cievach.

Fytoaktívne molekuly objavili japonskí vedci. Japonci pred niekoľkými desaťročiami zistili, aké dôležité je čistiť cievy. V roku 1965 krajina spustila program „Spoločne pre dlhovekosť“, ktorého cieľom je vzdelávať ľudí o aktivitách, ktoré môžu predĺžiť dĺžku života. Čistenie ciev je tam napísané ako samostatný bod. Japonsko drží rekord v priemernej dĺžke života.

Tu je návod, ako receptúra na čistenie tepien s fytoaktívnymi molekulami ovplyvňuje vaše zdravie:

icon

ČISTÍ A REGENERUJE CIEVY

Po mesiaci kúry sú tepny vyčistené a elastické ako u ľudí vo veku 25-30 rokov. Krvný tlak sa normalizuje, skoky krvného tlaku ustupujú, pocit únavy a ospalosti mizne, rany a rezné rany sa hoja rýchlejšie.

icon

REGENERUJE VNÚTORNÉ ORGÁNY A KĹBY

Po štádiu čistenia ciev začína obnova vnútorných orgánov. Keď arteriálne blokády zmiznú, do orgánov a systémov sa dodáva čistá, okysličená krv. V dôsledku toho sa zlepšuje ich fungovanie.

icon

ROZPÚŠŤA PREBYTOČNÉ TUKOVÉ TKANIVO

Akonáhle sú vaše cievy vyčistené, vaša váha začne automaticky klesať. V priemere do 3 mesiacov po vyčistení tepien človek schudne 8-12 kg!

icon

ZLEPŠUJE ZRAK

Prípravok podporuje obnovu mikrociev v očnom pozadí, čím sa zlepšuje a zostruje videnie.

icon

OBNOVUJE POTENCIU U MUŽOV

Jedným z prekvapivých účinkov čistenia krvných ciev je, že muži už nemajú problém udržať erekciu.

A čo je najdôležitejšie, MÔŽETE SA DOŽIŤ DO 100 ROKOV – BEZ PREHLTANIA HRSTÍ TABLETIEK.

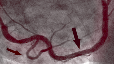
PRED KÚROU

example before 1

Fotografia vľavo ukazuje stenózu pravej koronárnej artérie u 66-ročného muža, diagnostikovaná invazívnou koronárnou angiografiou. Existuje významná proximálna stenóza spôsobená kalcifikovaným plakom, ktorý blokuje prietok krvi.

example before 2

PO KÚRE

example after 1

Na fotografii vpravo vidíme vyčistenú pravú koronárnu tepnu bez stôp kalcifikovaného aterosklerotického plátu u toho istého pacienta po 1 mesiaci kúry. Neexistujú žiadne smrteľné usadeniny cholesterolu. Krv voľne prúdi a okysličuje všetky orgány.

example after 2

VYUŽITE TÚTO PRÍLEŽITOSŤ SKÔR AKO KTOKOĽVEK INÝ!

Prípravok s fytoaktívnymi časticami, ktorý vám prečistí žily a zbaví vás aterosklerózy, dostanete na 1 mesiac ZDARMA.

POZOR!Tieto balíčky Vein&Circulation MAX pošleme bezplatne ľuďom v najväčšej núdzi, ktorí nám zavolajú do

Kliknutím si overíte dostupnosť bezplatných balení prípravku >>>>

Nie všetky recenzie a komentáre publikované na službe sú overené. Poskytovateľ služby neoveruje, či osoba prezerajúca obsah stránky a pridávajúca do nej recenziu alebo komentár si predtým zakúpila produkt poskytovateľa prezentovaný na stránke alebo ho používala. Na oboznámenie sa s pravidlami pridávania komentárov a recenzií vás žiadame, aby ste si preštudovali obchodné podmienky služby.

Kliknutím si overíte dostupnosť bezplatných balení prípravku >>>>